After years of research and consultations regarding scoliosis surgery, I met Dr. Stéphane Owusu-Sarpong, and the experience changed everything.
Following comprehensive testing, Dr. Owusu-Sarpong confirmed that I did indeed need scoliosis surgery. But what truly set him apart was his insight and depth of care: he identified that before scoliosis surgery could safely and successfully occur, I first needed a three-level cervical fusion. This critical issue had not been addressed by any other surgeon I had consulted. Addressing my neck first wasn’t optional - it was essential. That level of foresight and precision spoke volumes.
From my very first meeting, Dr. Owusu-Sarpong and his team were exceptional. Every interaction was professional, thorough, and unhurried. Every question was answered - clearly and patiently - and then some. My sons, Jake and Jared, were included in every conversation and kept fully informed every step of the way, which meant the world to me.
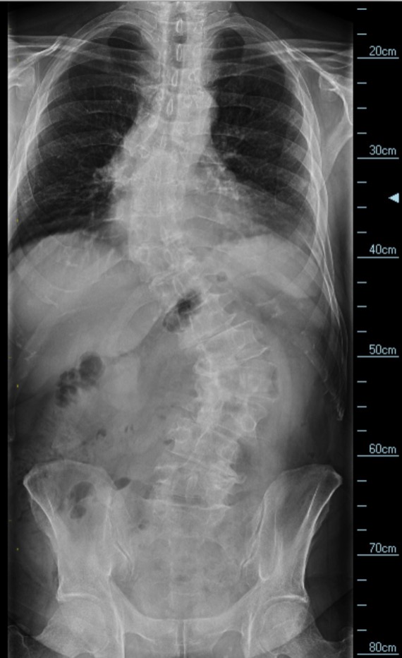
Included with my story are images of my first surgery on the neck and an image of my entire spine (to be repaired in late Spring).



