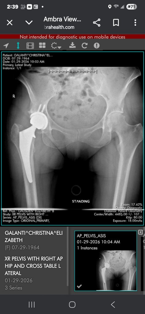
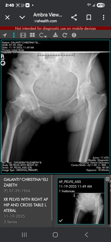
Dr. Gausden and her team are the best! Before my surgery, I couldn't straighten my right leg, walk any long distances, or climb stairs. I had pain all the time. I had my surgery on 1/2/26. Immediately after, I was able to stand straight, walk, and climb the stairs. My leg is straight for the first time in over 2 years!



